At 31 years old I have decided to get braces - but the best part? They're INVISIBLE!!! Follow my journey as I get my new Harmony lingual (behind the teeth)braces and watch the progress.
Monday, August 5, 2013
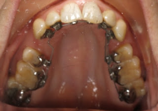
11 months and counting
Time for a quick update - it's been almost 2 months since my last post and not really much progress unfortunately. I'm posting updated pics, where you can see that the bottom teeth are straightening out a little bit but the gap at the top really hasn't closed at all. I've been very frustrated and after discussing it with Dr. Cliff I'm going to get the bottom braces taken off and replaced with self-ligating outside braces. This is because I've broken yet another wire on the bottom, and I'm sick of my tongue being constantly cut up and sore. I think it will be less of a transition on the bottom (switch sore tongue for sore inner lip for awhile) and because hopefully I won't break the wires on top. I doubt that I will switch the uppers, even though he thinks it will reduce the total treatment time by about 3 months, just because I still don't want to deal with food stuck in my braces while at company lunches/dinners, and because the top ones don't bother me all that much - I just wish they would hurry up and straighten!!! We moved up to a new wire on the top so hopefully that will help things move along, although I'll feel better when we put the power threads back on to close the gap on the left.
Here are the latest pics from July, unfortunately a couple of the pics have weird marks on them, it looks like there was hair on the camera lens or something but you get the idea:




Subscribe to:
Post Comments (Atom)
Wow , This is pretty terrible teeth but I hope you could have a good smile in future :DD
ReplyDeleteBraces
Hello Miss Laura, I really believe that the braces will take effect and hopefully you can always visit your dentist for a good advice on how to maintain beautiful teeth and a healthy gums. Good luck Miss Laura and thank you for your posts.
ReplyDeleteManhattan dental clinic
Thanks for sharing the blog related to the Harmony Lingual Braces. Really very useful blog for us!!
ReplyDeletebraces behind the teeth
Do you think they offer these braces in Edmonton? I would really love to get them if they are reasonable.
ReplyDeleteDo you know much about lingual braces. My orthodontist in Edmonton told me about them and he said that it might be an option for me.
ReplyDeletehi guys, sorry I took so long to respond - Jayden, maybe Joseph could tell you who his orthodontist is (since he's also in Edmonton). From my ortho the lingual were only about $600 more than the regular braces, well worth it in my opinion! Joseph, the Harmony braces that I have are lingual - did your ortho tell you the name of them? The only ones I know of are Incognito, which still use elastics, and Harmony which are self-ligating (no elastics). Good luck with your journeys to beautiful teeth :)
ReplyDeleteThanks for sharing the blog related to the Harmony Lingual Braces, really very useful blog for us!! Lingual orthodontics
ReplyDeleteThank You For sharing useful Information. Please keep sharing
ReplyDeleteLingual Orthodontics
Thank you for sharing this with us. The progress at the eleventh month is a bit noticeable but I'm sure that the progress would be greater and you would the Hollywood Smile which would suit you very much.
ReplyDeleteBraces Treatment In Mulund
Lingual Braces in Mumbai
Best Dentist In Mulund